
Board-Certified Richmond Orthodontists — Associations & Credentials
Member: 3M, TAO, WFO, AAO, Angle East, AO, ADA, Invisalign Diamond Provider, ABO, TDA, and GHDS
Among the Best Orthodontists in Richmond
Elara Orthodontics, led by Dr. Sara Abedini and Dr. Sam Elkenawy, offers expert, patient-focused orthodontic care for families in Richmond. Using the latest technology and customized treatment plans, they help patients of all ages achieve healthy, beautiful smiles. The team strives to make every visit comfortable and welcoming, supporting patients every step of the way. They are dedicated to delivering exceptional orthodontic care close to home.
Meet Dr. Sara Abedini, DDS, PhD
Your Board-Certified Family Orthodontist Richmond Orthodontist


Meet Dr. Sam Elkenawy, DDS, MS
Your Board-Certified Family Orthodontist Richmond Orthodontist
Starting Orthodontics is Easy
Schedule
Choose Your Plan
Same-Day Braces
Core Orthodontic Services – Orthodontic Treatment in Richmond, TX
Braces
Invisalign
Orthodontic Jaw Surgery
Braces Removal
Orthodontics for Adults
Orthodontics for Children
Bite Problems & Airway Habits
Overbite
Underbite
Crossbite
Open Bite
Crowding
Spacing
Tongue Thrust
Mouth Breathing
Cost & Insurance Braces & Invisalign in Richmond
At Elara Orthodontics – Richmond, achieving your best smile is simple and stress-free.
- Clear pricing with flexible payment options to match your budget.
- We work with most major PPO dental insurance plans and manage the claims for you.
- Transfer patients are always welcome, we’re happy to continue your treatment.

Advanced Orthodontic Appliances
Palatal Expander
Retainers
TMJ Mouth Guard
MARPE Appliances
Reverse Pull Headgear

Advanced Technology for Precise, Comfortable Orthodontic Care
- Digital Imaging & Advanced Treatment Planning: iTero® digital scans and CBCT imaging enable accurate diagnosis and personalized treatment planning for optimal outcomes.
- Orthopedic & Growth Correction: Specialized orthopedic treatments, including MSE/MARPE expanders and facemask therapy, support jaw development and address skeletal concerns.
- Braces Options: LightForce® custom braces, traditional metal braces, subtle clear ceramic braces, and lingual braces positioned behind the teeth for discreet treatment.
- Aligner Option: Invisalign® clear aligners offer an advanced, nearly invisible solution for orthodontic correction.
- Emergency Support: Prompt, attentive care for urgent orthodontic needs.
What Our Patients Say
Smile Gallery: Invisalign & Braces Before‑and‑After in Richmond, TX
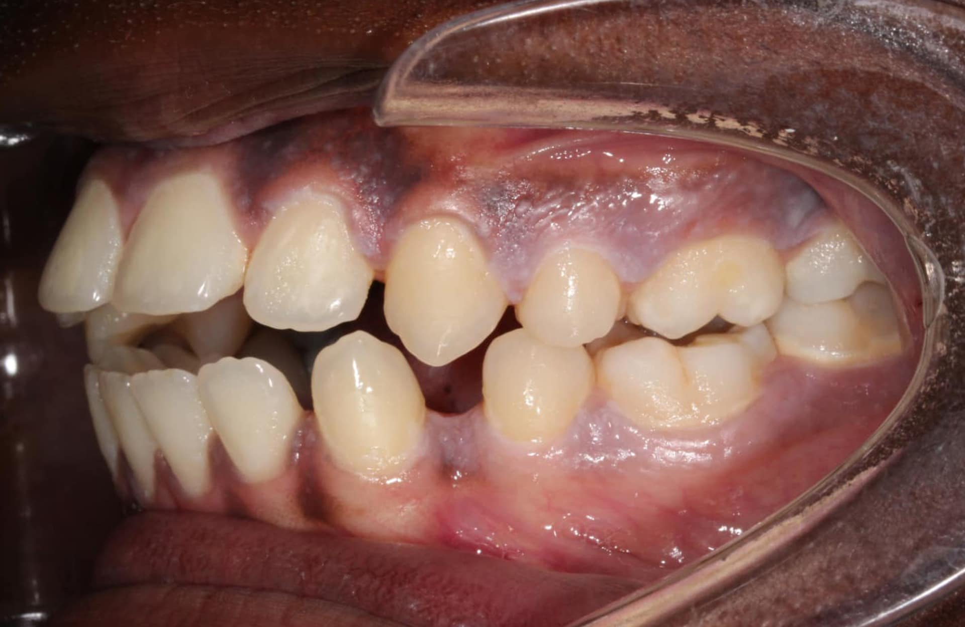
Severe Overjet
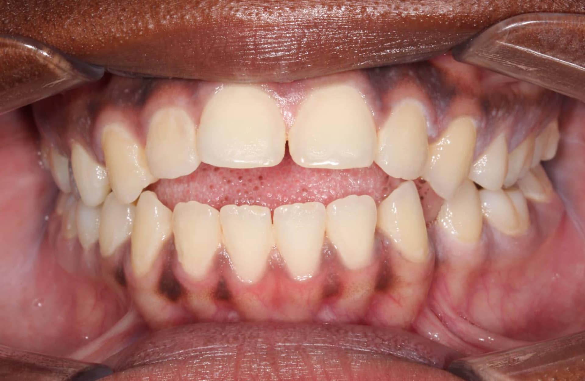
Open Bite
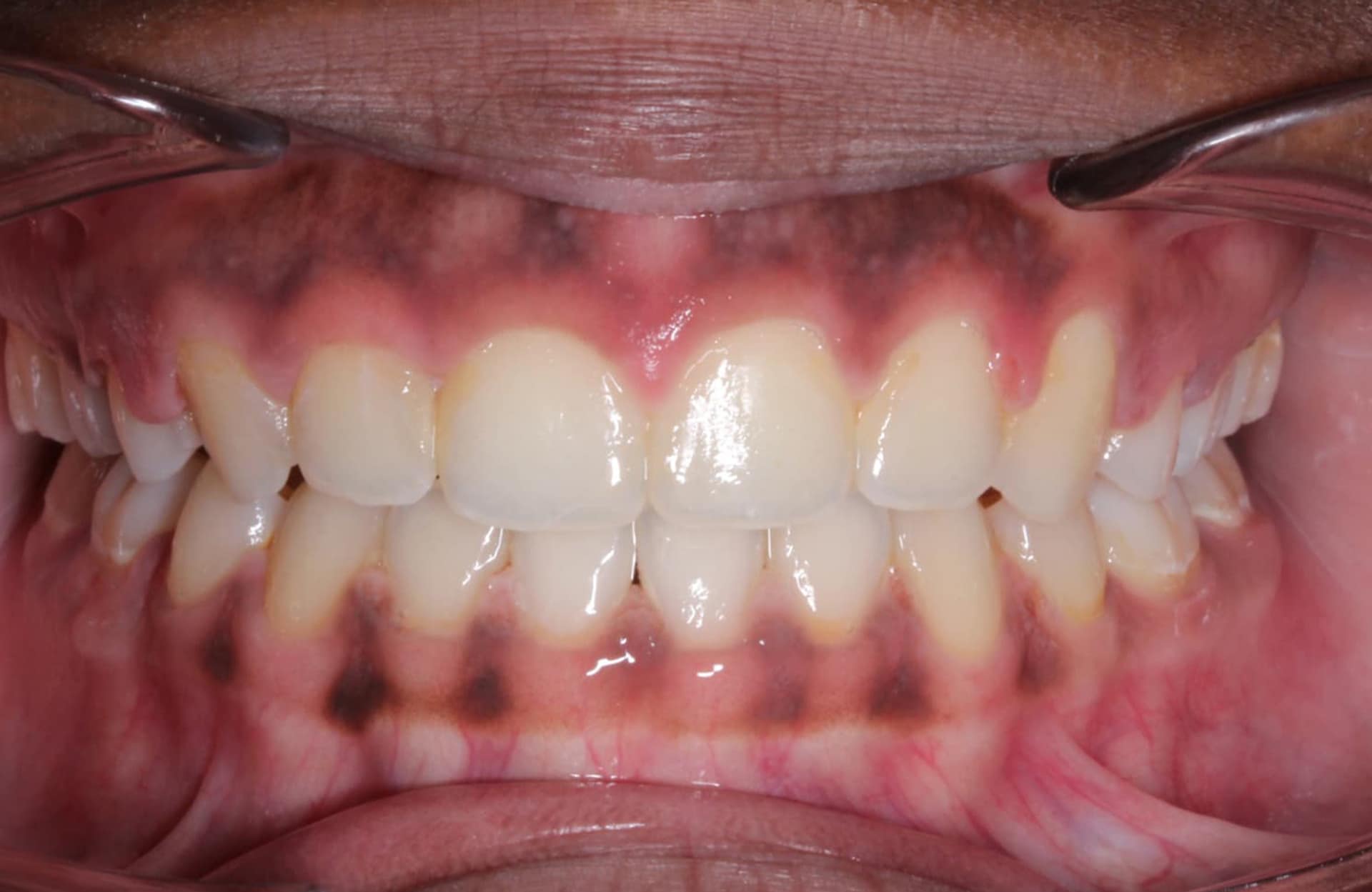
Open Bite
Inside Elara Orthodontics – Richmond Braces & Invisalign
Your Orthodontic Office in Richmond
16733 W Airport Blvd
Suite 270
Richmond, TX 77407
Located near popular landmarks such as the George Ranch Historical Park, Brazos Bend State Park, and the Fort Bend County Library, our office is conveniently positioned just off Highway 59 and a short drive from West Park Tollway and Grand Parkway.
Minutes away from: the Richmond Mall, Smart Financial Centre, and Fort Bend Museum. Only 30 minutes from Downtown Houston and 15 minutes from Sugar Land Town Square. Easily accessible and conveniently situated for residents throughout Fort Bend County.
Our practice proudly serves top communities in Richmond, welcoming patients from Greatwood, Pecan Grove, Waterside Estates, Oak Lakes, and Aliana. We are dedicated to providing exceptional orthodontic care to families across the area.





























